|
1. نحوه انجام تست |
||||||
| تست در دو مرحله به صورت نشسته (معاینه دستی) و دراز کشیده (معاینه با دستگاه سونوگرافی) توسط پزشک متخصص (غدد یا پزشکی هستهای) انجام میشود. لمس و یا مشاهده هر نوع توده غیرطبیعی در بافت تیروئید توسط پزشک مورد بررسی قرار گرفته و پس از تعیین مشخصات توده (سایز، شکل، محتوا، اکوژنیسیتی، نظم مرز توده و کلسیفیکاسیون) امتیاز بدخیمی مورد محاسبه قرار میگیرد. طبق دستورالعمل جهانی غربالگری تیروئید (در تصویر زیر نشان داده شده است)، در صورتی که امتیاز بدخیمی (TIRADS1) به ازای یک یا چند ندول عدد 3 یا بیشتر باشد با در نظر گرفتن سایز ندول، فرد جهت انجام معاینه FNA2 به رادیولوژیست مداخلهای ارجاع میشود. در صورت خوشخیم بودن ندول، فرآیند پیگیری در بازههای زمانی منظم انجام خواهد شد. لازم به ذکر است، در صورت نیاز به پیگیری درمانی، نامه ارجاع به صورت فیزیکی در اختیار شرکتکننده قرار خواهد گرفت. | ||||||
![]() |
||||||
|
2. پارامترهای ارزیابی |
||||||
|
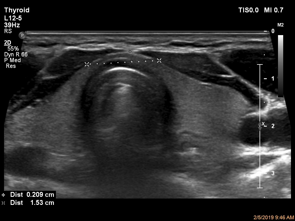
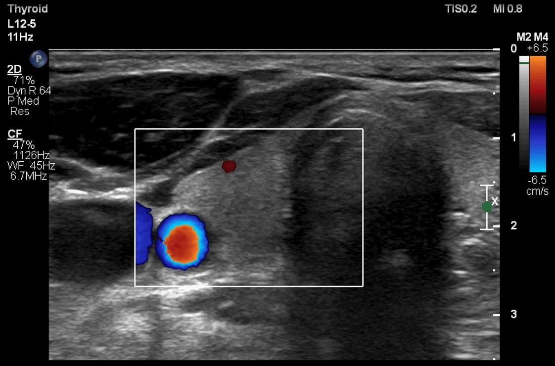
ابعاد و حجم تیروئید در سه قسمت لوب چپ (تصویر 1)، ایسم (تصویر 2) و لوب راست (تصویر 3) بررسی و معاینه میشود. همچنین سونوگرافی داپلر نیز در دو قسمت چپ (تصویر 4) و راست (تصویر 5) انجام میشود. لازم به ذکر است، همانطور که در قسمت آزمایشگاه توضیح داده شده است، هورمون TSH3 نیز به منظور غربالگری اختلالات کمکاری (کمتر از 0.01 µIU/mL) و پرکاری (بیشتر از 4 µIU/mL) انداز گیری و گزارش میشود. |
||||||
|
||||||
|
||||||
|
2-1. مشخصات تیروئید: 2-1-1. اندازه سه بعد اول، دوم و سوم (mm) 2-1-2. حجم لوب راست، چپ و ایسم (cc) 2-1-3. اکوژنیسیتی و واسکولاریتی هر سه لوب 2-2. مشخصات ندول تیروئید: 2-2-1. موقعیت قرارگیری 2-2-2. اندازه سه بعد اول، دوم و سوم (mm) 2-2-3. شکل4 2-2-4. اکوژنیسیتی5 2-2-5. محتوا 6 2-2-6. واسکولاریتی7 2-2-7. مرز و حدود توده8 2-2-8. کلسیفیکاسیون9 |
||||||
|
Abbreviations and Medical Terms 1. TIRADS: Thyroid Imaging Reporting and Data System 2. FNA: Fine Needle Aspiration 3. TSH: Thyroid Stimulating Hormone 4. Shape 5. Echogenicity 6. Internal Content 7. Vascularization 8. Margin 9. Calcification |
- بازدید: 1413







